Takaisin Tulosta

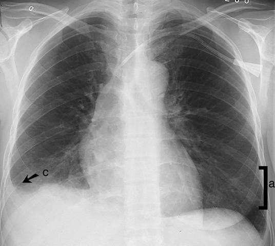
Interstitiaalinen ödeema keuhkoissa (etukuva)

Kuvatietokanta
20.2.2004
Kuva 1. Interstitiaalinen ödeema keuhkoissa (etukuva). Septaaliviivat (a) näkyvät parhaiten keuhkojen etukuvan ala-lateraaliosissa, pleuraa kohti kohtisuorina 1–2 cm:n mittaisina viivoina. Tilaan liittyy pleuraneste (c). Sivukuva: ks. «Interstitiaalinen ödeema keuhkoissa (sivukuva)»1.