D-Työpöytä
fi
en
sv
SUOSITUKSET
VÄLTÄ VIISAASTI
POTILAALLE
OTA KÄYTTÖÖN
KÄYPÄ HOITO
YHTEYSTIEDOT
Käypä hoito pähkinänkuoressa
Työryhmien käsikirja
Potilaiden osallisuus
KÄYTTÖOIKEUDET
MENETELMÄT
Käyttöohjeet
SUOSITUKSET
VÄLTÄ VIISAASTI
POTILAALLE
OTA KÄYTTÖÖN
KÄYPÄ HOITO
YHTEYSTIEDOT
Käypä hoito pähkinänkuoressa
Työryhmien käsikirja
Potilaiden osallisuus
KÄYTTÖOIKEUDET
MENETELMÄT
Käyttöohjeet
Takaisin
Tulosta
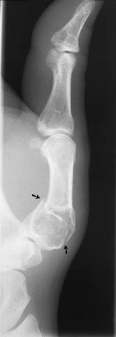
Murtuma I metakarpaaliluun diafyysin tyvessä
Kuvatietokanta
1.1.2000
Kuva 1.
Murtuma I metakarpaaliluun diafyysin tyvessä.
Sivukuva näyttää, että kulmamuodostus on melkoinen. Murtumalinja kulkee enkondrooman lävitse ja se on siis patologinen.