D-Työpöytä
fi
en
sv
SUOSITUKSET
VÄLTÄ VIISAASTI
POTILAALLE
OTA KÄYTTÖÖN
KÄYPÄ HOITO
YHTEYSTIEDOT
Käypä hoito pähkinänkuoressa
Työryhmien käsikirja
Potilaiden osallisuus
KÄYTTÖOIKEUDET
MENETELMÄT
Käyttöohjeet
SUOSITUKSET
VÄLTÄ VIISAASTI
POTILAALLE
OTA KÄYTTÖÖN
KÄYPÄ HOITO
YHTEYSTIEDOT
Käypä hoito pähkinänkuoressa
Työryhmien käsikirja
Potilaiden osallisuus
KÄYTTÖOIKEUDET
MENETELMÄT
Käyttöohjeet
Takaisin
Tulosta
Haimasyöpä
Kuvatietokanta
1.1.2000
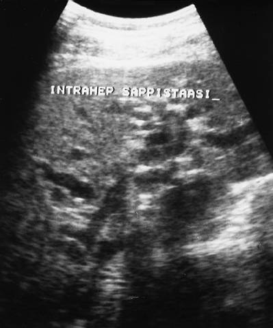
Kuva 1.
Haimasyöpä.
Maksan UÄ-tutkimuksessa nähdään laajentuneita intrahepaattisia sappitiehyitä, kuvassa tummina putkimaisina muodostumina.