Takaisin Tulosta

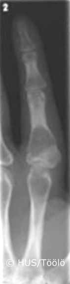
Enkondrooma sormessa

Kuvatietokanta
27.10.2025 • Viimeisin muutos 23.6.2009
Kuva 1.

Enkondrooma sormessa. Enkondrooma vasemman etusormen tyvijäsenessä. Kondrooma on melko tavallinen hyvänlaatuinen rustoa muodostava luukasvain. Kun se sijaitsee kokonaan luun sisällä, siitä käytetään nimitystä enkondrooma. Se on usein oireeton ja todetaan silloin sattumalöydöksenä käden tai jalan röntgentutkimuksen yhteydessä.

Kuva: HUS/Töölö, Aarne Kivioja