Takaisin Tulosta

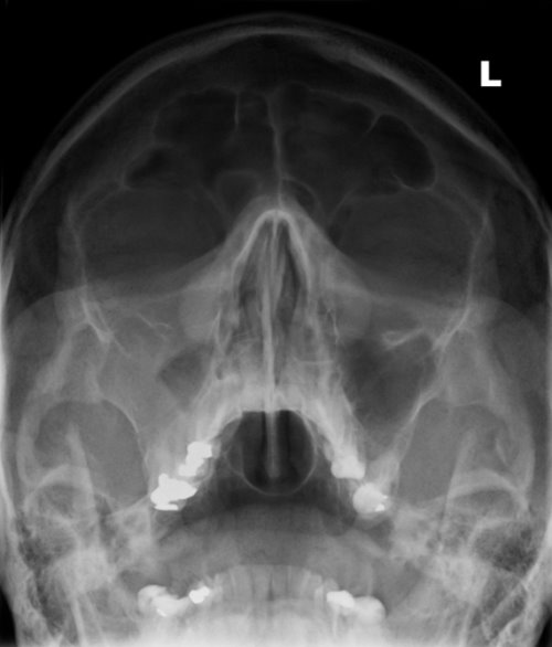
Poskiontelotulehdus oikealla

Kuvatietokanta
24.1.2012 • Uusi artikkeli
KYS/Korva-, nenä- ja kurkkutautien klinikka
Kuva 1.

Poskiontelotulehdus oikealla. Kuutamokuva: oikeassa poskiontelossa runsas limakalvoturvotus sinuiitin merkkinä. Vrt. normaali sinusröntgenlöydös «Normaali sinusröntgenlöydös»1

.

Kuva: Tatu Kemppainen