Takaisin Tulosta

Lasten ei-maligneja veritauteja

Kuvatietokanta
12.6.2012 • Uusi artikkeli
Työryhmä: Ulla Pihkala, Pasi Huttunen, Minna Koskenvuo, Virve Pentikäinen, Samppa Ryhänen
  • Kaikki solulinjat
    • Aplastinen anemia
  • Punasolulinjan tauteja
    • Kongenitaalinen dyserytropoieettinen anemia (tyyppi II, HEMPAS)
  • Valkosolulinjan tauteja
    • Chediak–Higashin syndrooma
  • Trombosyyttilinjan tauteja
    • Akuutti ITP (idiopaattinen trombosytopeeninen purppura)
    • Essentielli trombosytemia

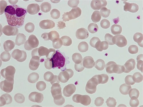
Aplastinen anemia

  • Kohtalaisen harvinainen lapsilla
  • Luuytimen kaikki linjat (erytropoieesi, myelopoieesi, trombopoieesi) ovat hypoplastisia tai aplastisia.
  • Perifeerisessä veressä normosytäärinen anemia, leukopenia ja trombopenia
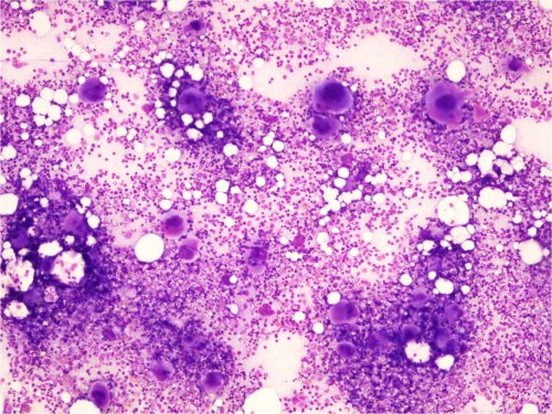
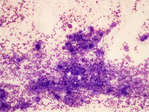
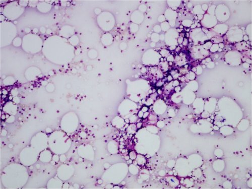
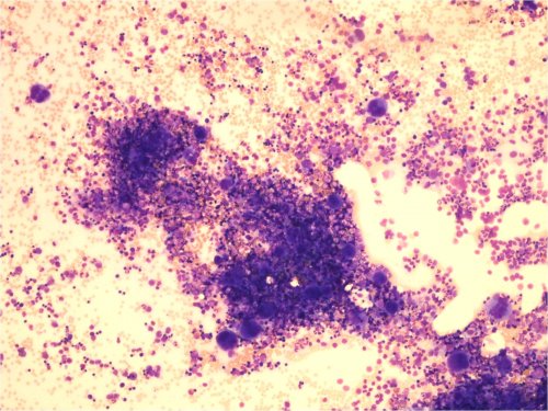
Kuva 1. Vaikea aplastinen anemia, yleiskuva. Näkyy rasvaa ja stroomaa, mutta ei juurikaan hematopoieesia.
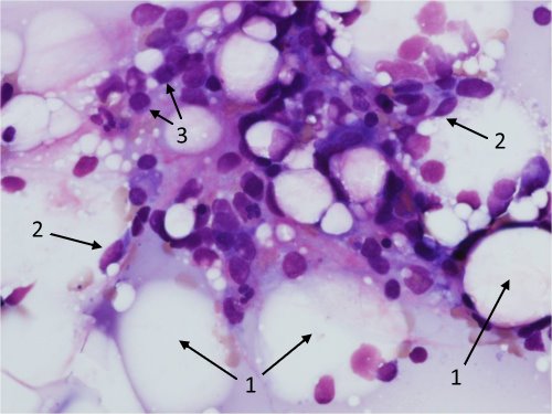
Kuva 2. Vaikea aplastinen anemia. Näkyvissä 1) rasvaa, 2) stroomasoluja ja 3) lymfosyyttejä.
Kuva 3. Vaikea aplastinen anemia. Näkyvissä rasvaa, 1) stroomasoluja ja 2) lymfosyyttejä.
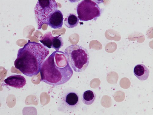
Kuva 4. Vaikea aplastinen anemia. Näkyvissä 1) plasmasoluja ja 2) kudosbasofiili (tissue mast cell).

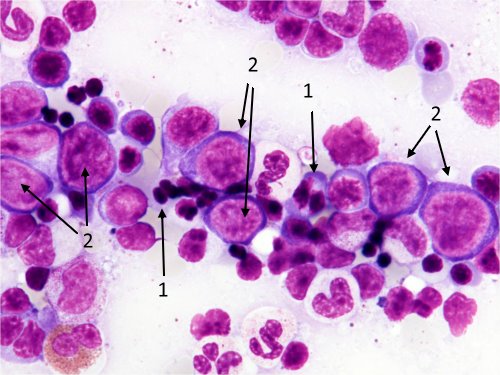
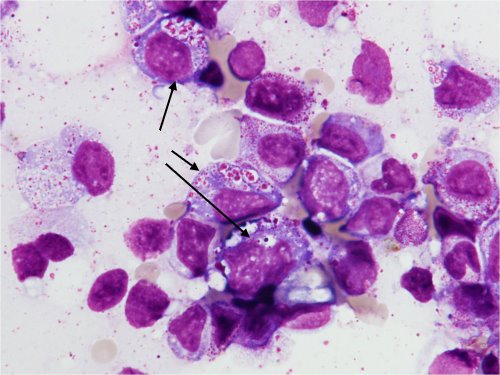
Kongenitaalinen dyserytropoieettinen anemia tyyppi II, HEMPAS

  • HEMPAS = hereditary erythroblastic multinuclearity with positive acid serum test
  • Perinnöllinen (autosomissa, resessiivinen), erittäin harvinainen
  • Normosytäärinen tai makrosytäärinen anemia
  • Ineffektiivinen erytropoieesi/dyserytropoieesi
  • Luuytimessä runsas erytropoieesi, kaksitumaisia erytroblasteja
  • Voi liittyä vaihtelevaa ikterusta, hepatosplemomegaliaa, raudan kertymistä
  • HEMPAS: punasolut hajoavat asidifioidussa seerumissa (acid serum test, Ham test).
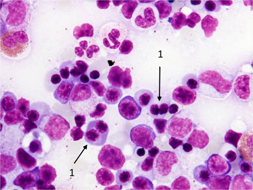
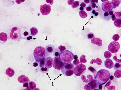
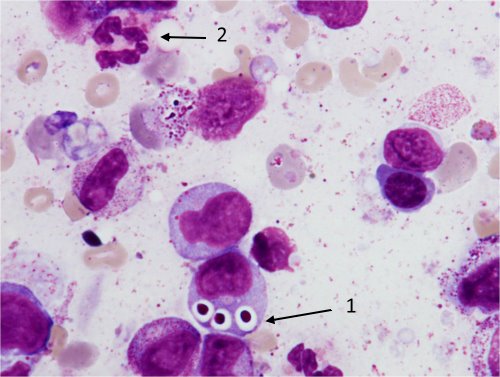
Kuva 5. HEMPAS-potilas. N. 3 vuoden ikäinen poika, luuydinlöydös. Ylivilkas erytropoieesi ja 1) monitumaisia muotoja.
Kuva 6. HEMPAS-potilas. N. 3 vuoden ikäinen poika, luuydinlöydös. Ylivilkas erytropoieesi ja 1) monitumaisia muotoja. Poikkeuksellisen runsaasti 2) proerytroblasteja.
Kuva 7. HEMPAS-potilas. N. 3 vuoden ikäinen poika, luuydinlöydös. Ylivilkas erytropoieesi ja 1) monitumaisia muotoja.

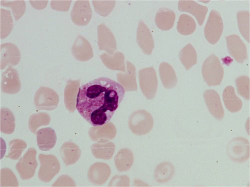
Chediak–Higashin syndrooma

  • Erittäin harvinainen perinnöllinen veritauti; useita tapauksia kuvattu Pohjois-Suomesta
  • Defekti granuloiden morfogeneesissä, CHS1-geenin mutaatio; esiintyy kaikissa kudoksissa
  • Myelooisessa sarjassa (granulosyytit, monosyytit) ja lymfosyyteissä jättigranuloita/inkluusioita
    • Viallinen degranulaatio ja kemotaksis
  • Ineffektiivinen myelopoieesi ja neutropenia
  • Vaikeat bakteeri-infektiot
  • Partiaalinen okulokutaaninen albinismi (vika myös melanosyyteissä)
  • Myös neurologisia muutoksia
  • Tauti etenee akseleraatiovaiheeseen, kehittyy HLH (hemofagosyyttinen lymfohistiosytoosi), johon potilaat yleensä menehtyneet nuorella iällä.

Potilaskuvia koskevaa kirjallisuutta:

  • Möttönen M, Lanning, M, Saarinen UM. Allogeneic bone marrow transplantation in Chediak-Higashi syndrome. Pediatr Hematol Oncol 12:55-59, 1995
  • Möttönen M, Lanning M, Baumann P, Saarinen-Pihkala UM. Chediak-Higashi syndrome: four cases from Northern Finland. Acta Paediatr 92:1047-1051, 2003.
Kuva 8. Chediak–Higashin syndrooma n. 2-vuotiaalla pojalla Pohjois-Suomesta. Inkluusioita perifeerisen veren neutrofiilissa.
Kuva 9. Chediak–Higashin syndrooma n. 2-vuotiaalla pojalla Pohjois-Suomesta. Inkluusio lymfosyytissä.
Kuva 10. Chediak–Higashin syndrooma n. 2-vuotiaalla pojalla Pohjois-Suomesta. Inkluusiot lymfosyyteissä.
Kuva 11. Chediak–Higashin syndrooma n. 2-vuotiaalla pojalla Pohjois-Suomesta. Luuydinlöydös. Jätti-inkluusiot varhaisessa myelooisen sarjan solussa.
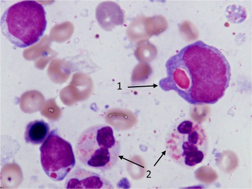
Kuva 12. Chediak–Higashin syndrooma n. 2-vuotiaalla pojalla Pohjois-Suomesta. Luuydinlöydös. 1) Jättigranuloita myelooisen sarjan solussa. 2) Inkluusioita kypsässä neutrofiilissa.
Kuva 13. Chediak–Higashin syndrooma n. 2-vuotiaalla pojalla Pohjois-Suomesta. Luuydinlöydös. Neutrofiilien vakuolisaatiota ja häiriintynyttä granulan muodostusta.
Kuva 14. Chediak–Higashin syndrooma n. 2-vuotiaalla pojalla Pohjois-Suomesta. Luuydinlöydös. Jättigranuloita myelooisen sarja soluissa.
Kuva 15. Chediak–Higashin syndrooma n. 2-vuotiaalla pojalla Pohjois-Suomesta. Luuydinlöydös. Jätti-inkluusio varhaisessa myelooisen sarjan solussa.
Kuva 16. Chediak–Higashin syndrooma n. 2-vuotiaalla pojalla Pohjois-Suomesta. Luuydinlöydös. Jätti-inkluusioita varhaisessa myeloisen sarjan solussa.
Kuva 17. Chediak–Higashin syndrooma n. 2-vuotiaalla pojalla Pohjois-Suomesta. Luuydinlöydös. Jättigranuloita luuytimen promyelosyytissä.
Kuva 18. Chediak–Higashin syndrooma n. 2-vuotiaalla pojalla Pohjois-Suomesta. Luuydinlöydös. 1) Jätti-inkluusio varhaisessa myelooisen sarjan solussa. 2) Inkluusioita kypsissä neutrofiileissa.
Kuva 19. Chediak–Higashin syndrooma n. 2-vuotiaalla pojalla Pohjois-Suomesta. Luuydinlöydös. Inkluusioita varhaisessa myelooisen sarjan solussa.

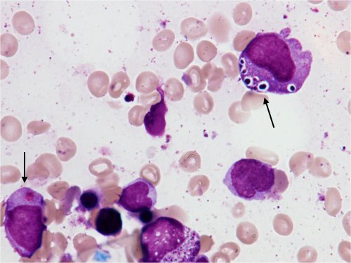
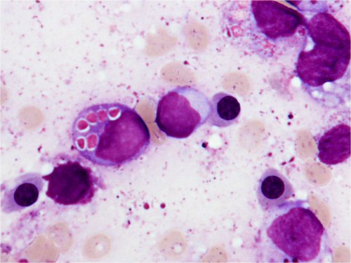
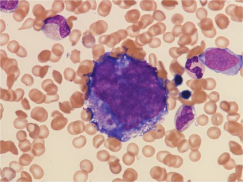
Akuutti ITP

  • Yleinen lapsilla
  • Perifeerisessä veressä trombosytopenia, joka joskus hyvinkin vaikea (B-Trom jopa < 5)
  • Luuytimen megakaryosyyttien määrä lisääntynyt
  • Megakaryosyyttien nuoruusmuotoja esiintyy, samoin pienikokoisia muotoja
  • Trombopoieesin turnover lisääntynyt
  • Kyseessä trombosyyttien immunologinen kato
  • Muut solulinjat normaalit
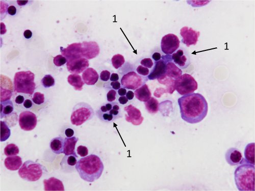
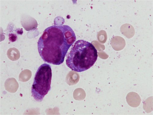
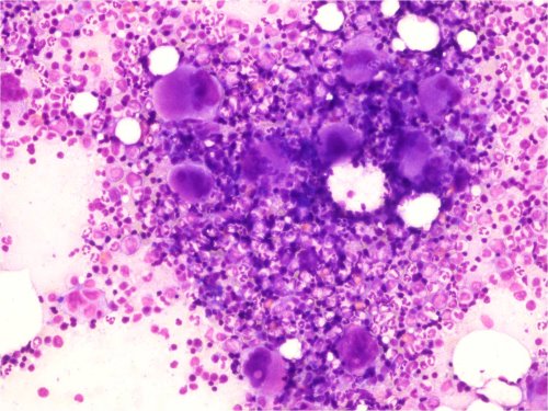
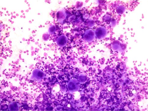
Kuva 20. Akuutti ITP 2 kk:n ikäisellä vauvalla. Luuytimen yleiskuva. Erittäin runsaasti megakaryosyyttejä.
Kuva 21. Akuutti ITP, luuytimen yleiskuva. Runsas megakaryosyyttien määrä yhdessä perifeerisen trombosytopenian kanssa sopii akuuttiin ITP:hen. 2 kk:n ikäinen vauva.
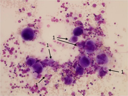
Kuva 22. Akuutti ITP, luuytimen yleiskuva. 2 kk:n ikäinen vauva. Runsas megakaryosyyttien määrä yhdessä perifeerisen trombosytopenian kanssa sopii akuuttiin ITP:hen. 1) Osa megakaryosyyteistä on nuoria ja pieniä ylivilkkaan muodostuksen vuoksi.
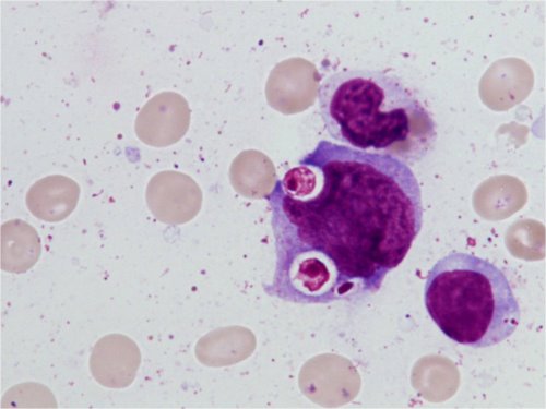
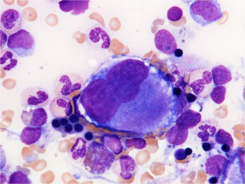
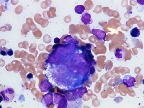
Kuva 23. Promegakaryosyytti. Akuutti ITP.
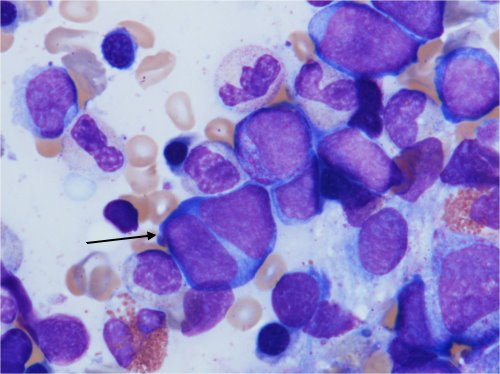
Kuva 24. Kaksitumainen megakaryoblasti. Akuutti ITP.

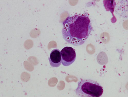
Essentielli trombosytemia

  • Erittäin harvinainen lapsuusiällä
  • Perifeerisessä veressä huomattava trombosytoosi (>> 1 000)
  • Trombosyyttien tuotanto luuytimessä lisääntynyt
  • Trombopoieesin morfologia normaali
  • Erotusdiagnoosina polysytemia vera, jossa myös punasolujen määrä ja tuotanto on huomattavasti lisääntynyt
Kuva 25. Essentielli trombosytemia. Runsas megakaryosyyttien määrä luuytimessä, perifeerisen veren trombosyytit n. 1 500.

Kuvat: Kuvattu 04/2012 HYKS/Lastenklinikan potilaiden 30 vuoden arkistomateriaalista. Kuvia käytettäessä on lähde ja tekijät mainittava.