Takaisin Tulosta

Normaali luuydin

Kuvatietokanta
20.6.2012 • Uusi artikkeli
Työryhmä: Ulla Pihkala, Pasi Huttunen, Minna Koskenvuo, Virve Pentikäinen, Samppa Ryhänen

Erytropoieesi

  • Kehitysvaiheet
    • Proerytroblasti
    • Basofiilinen erytroblasti
    • Polykromaattinen erytroblasti (pronormoblasti)
    • Pyknoottinen erytroblasti (normoblasti)
    • Retikulosyytti
    • Kypsä punasolu
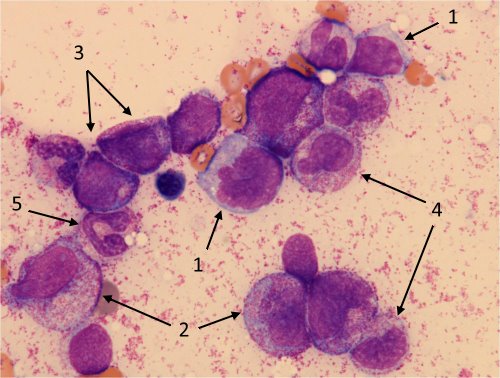
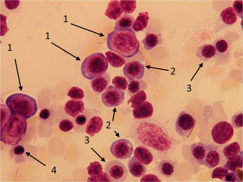
Kuva 1. 1) Proerytroblasti. 2) Basofiilinen erytroblasti. 3) Polykromaattinen erytroblasti. 4) Normoblasti.
Kuva 2. 1) Proerytroblasti. 2) Basofiilinen erytroblasti. 3) Polykromaattinen erytroblasti.
Kuva 3. 2) Basofiilinen erytroblasti. 4) Normoblasti.

Megaloblastinen erytropoieesi

  • Erytropoieesia sanotaan megaloblastiseksi tietyillä morfologisilla kriteereillä.
  • Tilan ei tarvitse olla sairaus.
  • Voi olla ohimenevä.
  • Voi myös merkitä sairautta (esim. myelodysplastinen syndrooma).

Megaloblastisen erytropoieesin syitä

  • Stressierytropoieesi yleensä
    • Stressihematopoieesissa megloblastisia muutoksia on muissakin linjoissa, kuten myelopoieesissa. Solut ovat tuolloin tavallista suurempia.
  • B12-vitamiinin ja foolihapon puute (lapsilla harvinainen)
  • Sytostaattihoito ja siitä toipuminen
  • Kantasolusiirrosta toipuminen
  • Myelodysplastinen syndrooma

Megaloblastisen erytropoieesin piirteet

  • Punasolujen esiasteet ovat suuria.
  • Sytoplasman määrä suhteessa tuman kokoon on runsas.
  • Tuman rakenne on löyhä, ja siinä on ns. parakromatiinia.
  • Tuman kypsymishäiriö, eli tuma on jäljellä liian kypsissä soluissa (retikulosyytit, kypsät punasolut)
  • Graaveina muutoksina voi olla monitumaisuutta ja tuman pirstoutumista.
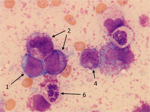
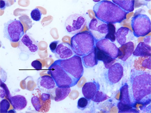
Kuva 4. Megaloblastinen erytropoieesi. 1) Isokokoinen proerytroblasti, jossa löyhä tuman rakenne. Kaikki erytropoieesin solut isokokoisia.
Kuva 5. Regeneroituva erytropoieesi ALL:n induktiohoidossa päivänä 29, graavit megaloblastiset muutokset. 1) Tuman kypsymishäiriö; tuma jäljellä melko kypsässä punasolussa. Sytoplasman määrä runsas tumaan nähden. 2) Tuman pirstoutumista.
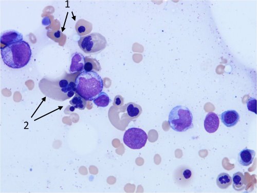
Kuva 6. 1) Tuman pirstoutuminen graavissa megaloblasiassa. Iso retikulosyytti, josta tuma ei ole hävinnyt. 2) Löyhä tuman rakenne, parakromatiinia. 3) 2-tumainen pronormoblasti.
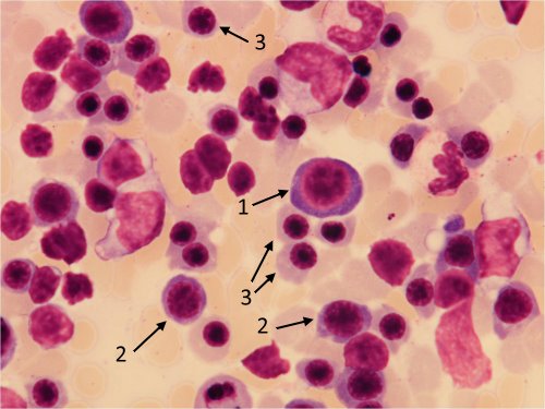
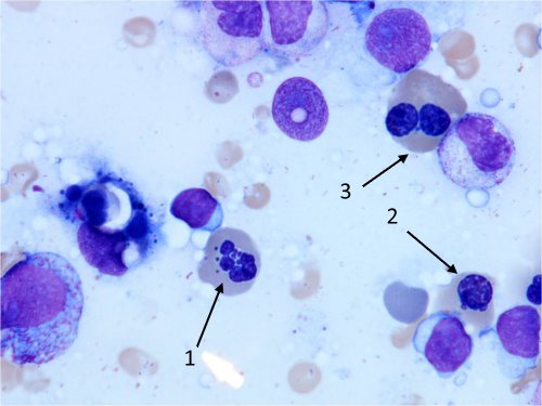
Kuva 7. Graavit megaloblastiset muutokset. 1) Tuman pirstoutumista. 2) Tuma jäljellä kypsässä punasolussa. 3) Löyhä tuman rakenne basofiilisessa erytroblastissa.
Kuva 8. Graavit megaloblastiset muutokset. 1) Proerytroblasti, jossa löyhä tuman rakenne. 2) Tuman pirstoutumista. 3) Isokokoisia basofiilisia eytroblasteja, joissa löyhä tuman rakenne.

Myelopoieesi

  • Kehitysvaiheet
    1. Myeloblasti
    2. Promyelosyytti
    3. Myelosyytti
    4. Metamyelosyytti
      • Neutrofiilinen, eosinofiilinen tai basofiilinen
    5. Sauvatumainen granulosyytti
      • Neutrofiilinen, eosinofiilinen tai basofiilinen
    6. Liuskatumainen granulosyytti
      • Neutrofiilinen, eosinofiilinen tai basofiilinen
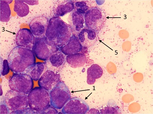
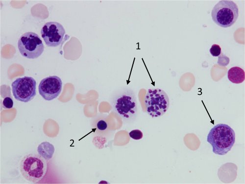
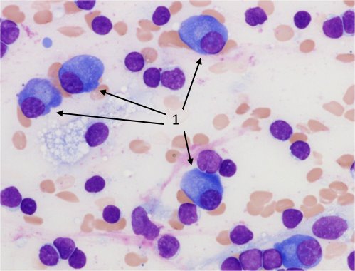
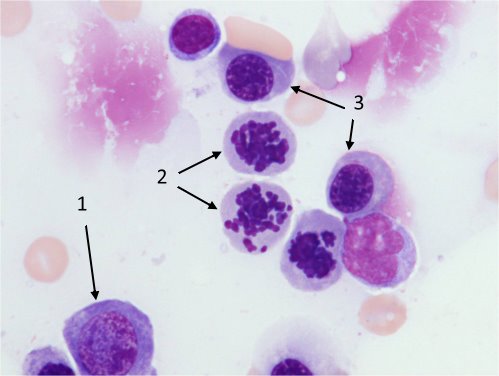
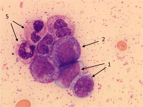
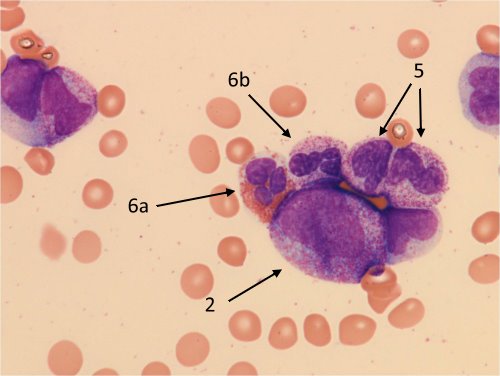
Kuva 9. 1) Myeloblasti. 2) Promyelosyytti. 4) Metamyelosyytti. 6) Liuskatumainen granulosyytti.
Kuva 10. 2) Promyelosyytti, myelopoieesin isokokoisin solu, jossa vielä on nukleolukset. 3) Myelosyytti. 5) Sauvatumainen granulosyytti. 6) Liuskatumainen granulosyytti.
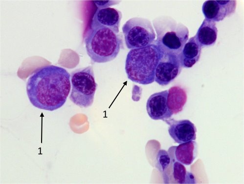
Kuva 11. 1) Myeloblasti. 2) Promyelosyytti. 3) Myelosyytti. 4) Metamyelosyytti. 5) Sauvatumainen granulosyytti.
Kuva 12. 1) Myeloblasti. 3) Myelosyytti. 5) Sauvatumainen granulosyytti.
Kuva 13. 1) Myeloblasti. 2) Promyelosyytti. 5) Sauvatumainen granulosyytti.
Kuva 14. 2) Promyelosyytti. 5) Sauvatumainen granulosyytti. 6a) Liuskatumainen eosinofiilinen granulosyytti. 6b) Liuskatumainen neutrofiilinen granulosyytti.

Trombopoieesi

  • Endomitoottinen synkroninen tuman replikaatio
    • Tumien määrä kertautuu aina kahdella, ja sytoplasman volyymi kasvaa
Kuva 15. Trombopoieesi.
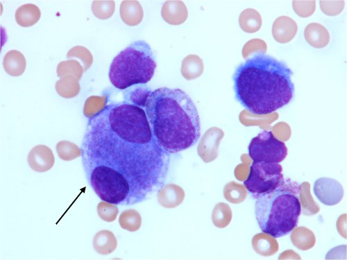
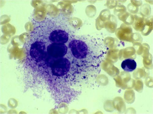
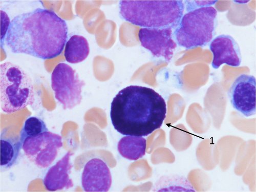
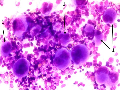
Kuva 16. Kaksitumainen megakaryoblasti.
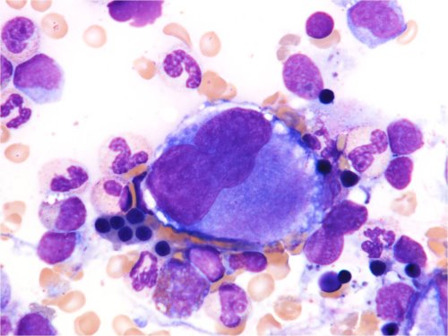
Kuva 17. 1) Kaksitumainen megakaryoblasti ja 2) promegakaryosyytti, joka on fagosytoinut 3) punasolun.
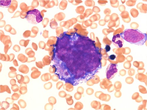
Kuva 18. Promegakaryosyytti.
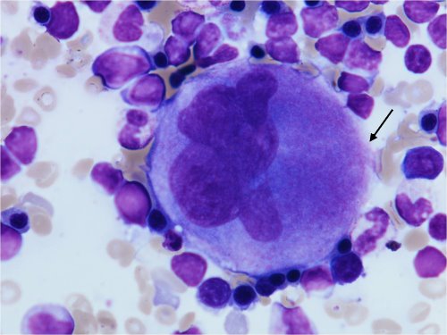
Kuva 19. Kypsymässä oleva nuori megakaryosyytti.
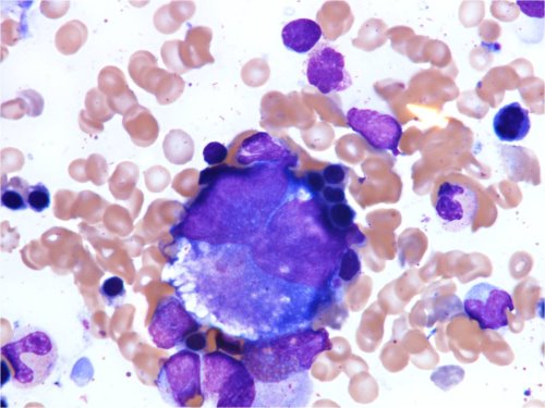
Kuva 20. Kypsä megakaryosyytti. 1) Trombosyyttejä irtoaa sytoplasmasta.
Kuva 21. Kypsiä megakaryosyyttejä.
Kuva 22. Kypsiä megakaryosyyttejä, joista osa 1) pieniä.
Kuva 23. Kaksitumainen minimegakaryosyytti.

Muita luuydinsoluja

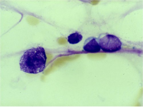
  • Kudosbasofiili
  • Plasmasolu
  • Osteoblasti
  • Osteoklasti
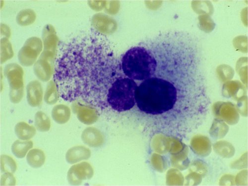
Kuva 24. 1) Kudosbasofiileja (tissue mast cells), joissa runsaasti syvän basofiilista granulaa ja pyöreä tuma.
Kuva 25. 1) Kudosbasofiili
Kuva 26. Kudosbasofiili.
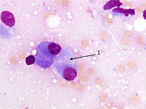
Kuva 27. Plasmasolu, jossa tyypillisesti voimakkaan basofiilinen sytoplasma, eksentrinen tuma ja vaalea ”piha” (Golgin laite) aivan tuman kyljessä.
Kuva 28. 1) Plasmasoluja
Kuva 29. Plasmasoluja

Osteoblastit

  • Osteoblastit rakentavat luuta.
  • Ovat mesenkymaalista alkuperää eivätkä siis polveudu luuytimen kantasoluista.
  • Sijaitsevat luutrabekkeleiden reunoilla.
  • Löytyvät parhaiten luuydinbiopsian touch-preparaateista.
  • Muistuttavat plasmasolua, koska sytoplasma on basofiilinen ja tuma eksentrinen.
  • Osteoblasti on pitkänomaisempi, ja vaalea ”piha” (Golgin laite) ei ole tuman kyljessä vaan kauempana sytoplasmassa.
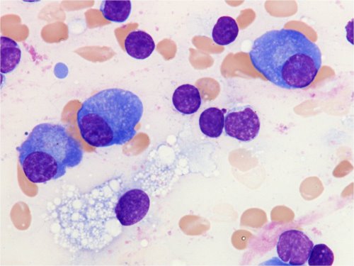
Kuva 30. Osteoblasteja luuydinbiopsianäytteessä (touch-preparaatti). Liekkimäinen muoto, eksentrinen tuma, ja 1) ”piha” (Golgin laite) kauempana tumasta.
Kuva 31. Osteoblasteja luuydinbiopsianäytteessä (touch-preparaatti).
Kuva 32. Osteoblasteja. Eksentrinen tuma, liekkimäinen solun muoto ja 1) Golgi kauempana sytoplasmassa.

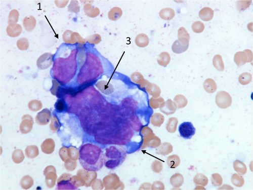
Osteoklastit

  • Resorboivat luuta.
  • Löytyvät vain luuydinbiopsianäytteistä ja touch-preparaateista.
  • Isoja monitumaisia soluja, muistuttavat megakaryosyyttejä, mutta tumat irrallaan toisistaan ja sytoplasman granula karkeaa.
  • Osteoklastien puute tai toimimattomuus aiheuttaa synnynnäisen osteopetroosi-taudin.
  • Koska osteoklasti polveutuu luuytimen kantasolusta, osteopetroosi on korjattavissa allogeenisella kantasolusiirrolla.
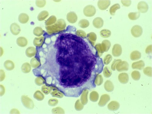
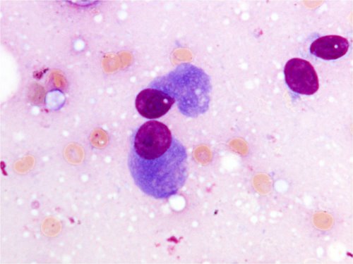
Kuva 33. Osteoklasti. Sytoplasman granula karkeaa ja tumat irti toisistaan. Ääriviivakin yleensä epätasainen.
Kuva 34. Osteoklasti. Sytoplasman granula karkeaa ja tumat irti toisistaan.

Luuytimen rautavärjäys

  • Lapsen normaalissa luuytimessä on yleensä hyvin vähän kudosrautaa, ja rautavärjäys on negatiivinen.
  • Kudosrauta on lisääntynyt ja siis rautaa nähtävissä luuytimen rautavärjäyksessä tiloissa, joissa kehittyy esim. transfuusiosideroosi.
  • Kudosrautaa on nähtävissä luuydinbiopsiassa sekä stroomassa tippavärjäyslasin keskiosassa.
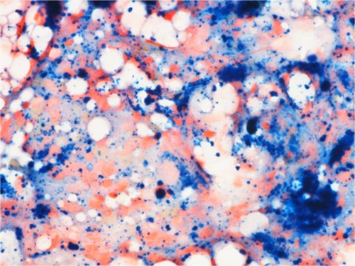
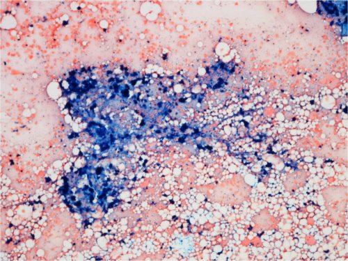
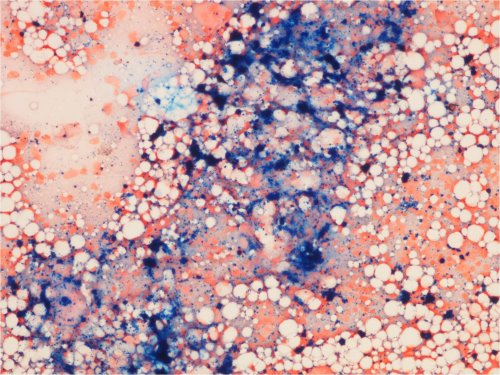
Kuva 35. Luuytimen rautavärjäys. Potilaalla beetatalassemia major ja transfuusiosideroosi.
Kuva 36. Luuytimen rautavärjäys. Rauta (sininen väri) kerääntyy makrofageihin. Beetatalassemia major ja transfuusiosideroosi.
Kuva 37. Luuytimen positiivinen rautavärjäys. Potilaalla ALL ja kantasolusiirron jälkitila. 1) Kudosrauta (sininen väri) kertyy makrofageihin.

Kuvat: Kuvattu 03–04/2012 HYKS/Lastenklinikan potilaiden 30 vuoden arkistomateriaalista. Kuvia käytettäessä on lähde ja tekijät mainittava.