

Dilatoiva kardiomyopatia.
A. Tapauksen kontrollikuva on vuodelta 2009, jolloin nelikymppinen perusterve mies oli ollut tutkimuksissa päiviä-viikkoja kestäneiden hengenahdistusjaksojen vuoksi. Tuolloin sydän oli normaalikokoinen ja kompensaatiossa, pleurasopet terävät, eikä parenkyymissa ollut infektioon viittaavaa. Mediastinum ja hilukset normaalit. Thoraxkuvassa siis normaali löydös.
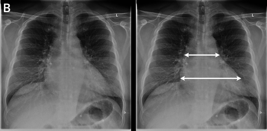
B. Kuusi vuotta myöhemmin mies on tutkimuksissa ohimenevien hemipareesioireiden ja veriyskösten vuoksi. Anamneesista ilmeni lepo- ja rasitushengenahdistusta, limaista yskää, sydämentykytystä ja rasituksensiedon heikkenemistä. Statuksessa lievä ylipaino, auskultoiden hienojakoista rahinaa oikealta, lievää leukosytoosia, CRP matala. Ei turvotuksia. Neurologinen status todettiin normaaliksi. Pään tt-kuvan lisäksi otetussa thoraxkuvassa löydökset olivat muutoin normaalit, mutta sydän on huomattavasti laajentunut. Keuhkoverekkyys oli vielä normaalirajoissa, eikä pleuranestettäkään ilmennyt. Jatkotutkimuksissa todettiin suuren sydämen syyksi dilatoiva kardiomyopatia. Pelkän thoraxkuvan perusteella ei siis voi arvioida, mitä sydämen suurentumisen taustalla on.
Kuvat: HUS Kuvantaminen, teksti: Tiina Lehtimäki