

Palleatyrä.
72-vuotias verenpainetautia ja munuaisten vajaatoimintaa sairastava nainen hakeutui tutkimuksiin heikentyneen rasituksensiedon ja hengenahdistuksen vuoksi. Potilaasta otettiin thoraxkuva ensisijaisena ajatuksena hengitystieinfektio tai sydämen vajaatoiminta.
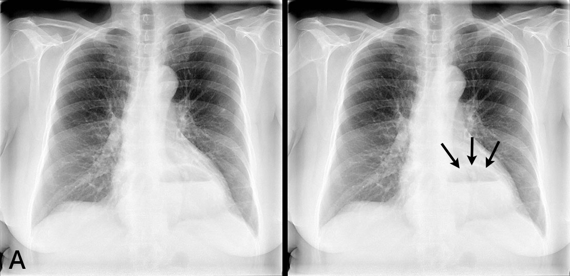
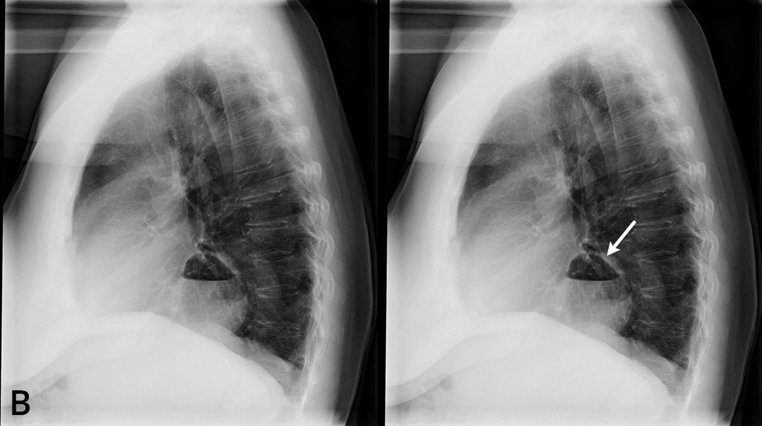
A ja B. Sekä etu- että sivukuvassa ilmeni kookas palleatyrä, jonka sisällä oli ilmakupla. Sydän oli hieman normaalia kookkaampi, mutta keuhkoverekkyys normaalia. Hilukset ja ylämediastinum olivat siistit, eikä keuhkoparenkyymissa näkynyt poikkeavaa. Pleurasopet terävät. Muista tutkimuksista ilmeni, että huomattava osa ventrikkeliä oli hernioitunut mediastinumin puolelle. Vuoden päästä närästysvaiva hankaloitti elämää niin, että tehtiin ruokatorven varjoainekuvaus ja pohdittiin palleatyrän operatiivista hoitoa.
Kuvat: HUS Kuvantaminen, tekstit: Tiina Lehtimäki