
Atyyppinen pneumonia HIV-potilaalla.
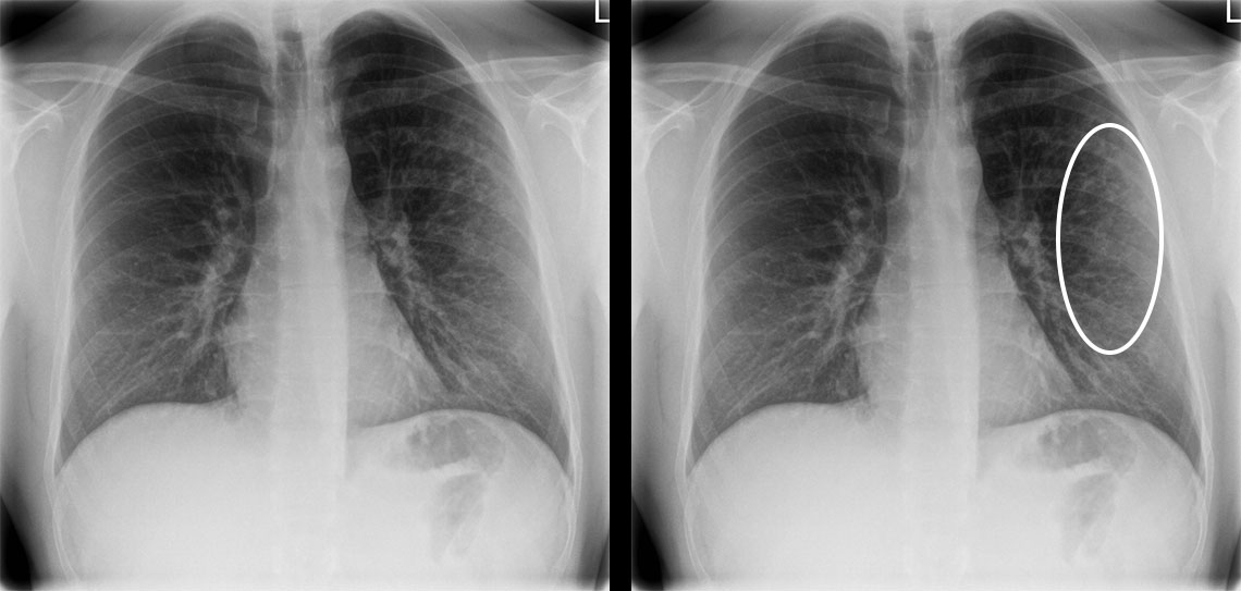
Nuorella miehellä oli ollut 2 viikkoa yskää ja lämpöilyä. Potilaalla oli HIV, jota oli hoidettu asianmukaisesti. Keuhkoauskultaatiossa oli kuultavissa obstruktiota.
Thoraxröntgeniin kuvautui atyyppinen pneumonia. Distaalisessa keuhkoparenkyymissä on kauttaaltaan varjostumaa ja kuviolisää (ympyrä).
Kuvat: HUS Kuvantaminen, teksti: Tiina Lehtimäki