
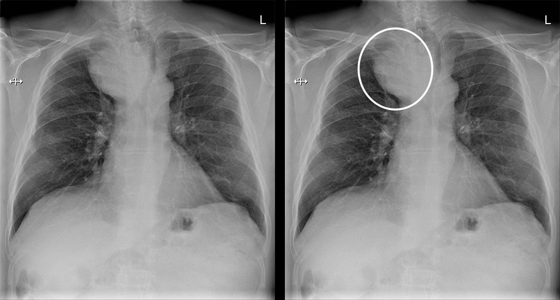
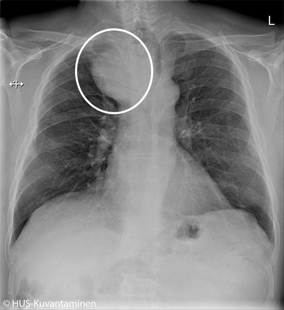
Kookas struumakyhmy keuhkokuvassa.
Potilaan keuhkokuva tarkistettiin pitkittyneen flunssan vuoksi. Oireita selittävää syytä ei löytynyt, mutta kuvassa näkyy ylämediastinumin massa, jonka vuoksi trakea devioi vasemmalle. Keuhkokudoksessa ei ole aktuellia ja hilusalueet sekä keuhkosopet ovat siistit. Kuvan löydös oli aihe jatkotutkimuksille. Ultraäänitutkimuksessa todettiin retrosternaalisesti ulottuva kookas oikea kilpirauhaslohko, joksi thoraxkuvan muutoskin sopii.
Kuvat: HUS Kuvantaminen, teksti: Tiina Lehtimäki