
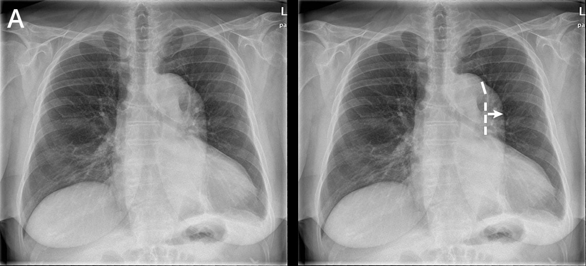
Aortan dissekoituma keuhkokuvassa (etukuva ilman löydösmerkintöjä).
Keski-ikäinen nainen tuli vastaanotolle yhtäkkiä alkaneen terävän selkäkivun vuoksi. Verenpaine oli koholla.
Kuva: HUS-Kuvantaminen

Aortan dissekoituma keuhkokuvassa (etukuva löydösmerkinnöin).
AP-kuvassa on nähtävissä leventynyt välikarsina. Potilaalla oli B-tyypin aortan dissekoituma. Vasemmalla hieman pleuranestettä.
Kuva: HUS-Kuvantaminen

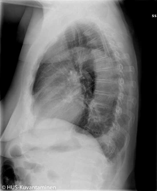
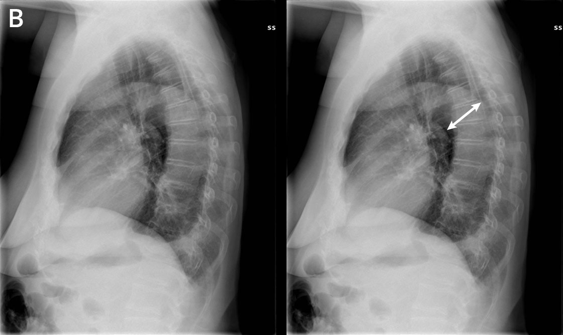
Aortan dissekoituma keuhkokuvassa (sivukuva ilman löydösmerkintöjä).
Keski-ikäinen nainen tuli vastaanotolle yhtäkkiä alkaneen terävän selkäkivun vuoksi. Verenpaine oli koholla.
Kuva: HUS-Kuvantaminen

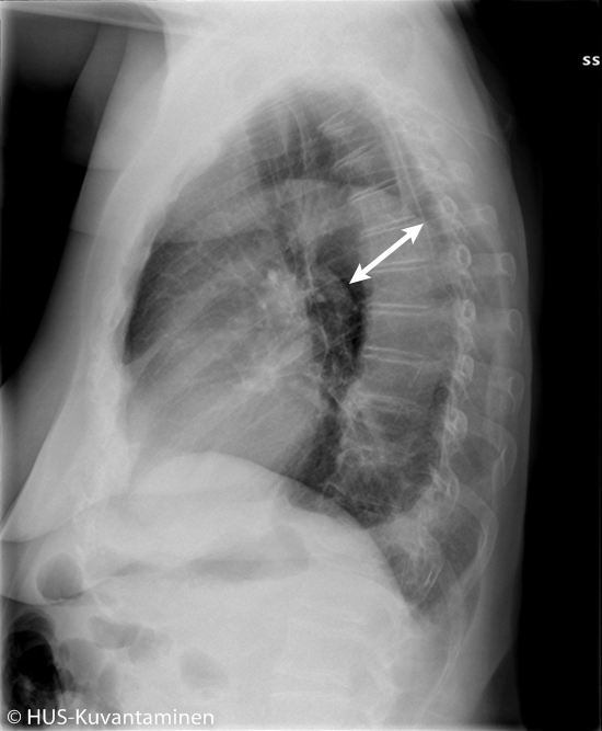
Aortan dissekoituma keuhkokuvassa (sivukuva löydösmerkinnöin).
Sivukuvassa on nähtävissä normaalia leveämpi laskeva aortta. Potilaalla oli B-tyypin aortan dissekoituma. Vasemmalla hieman pleuranestettä.
Kuva: HUS-Kuvantaminen