
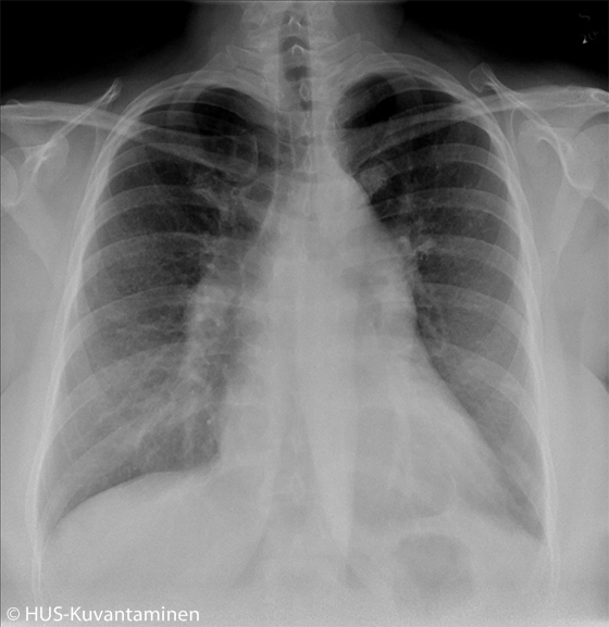
Kohonnut keuhkoverenpaine (kuva ilman löydösmerkintöjä).
Nuorella naisella oli hengenahdistusta ja huonovointisuutta.
Kuva: HUS-Kuvantaminen

Kohonnut keuhkoverenpaine (kuva löydösmerkinnöin).
Keuhkokuvassa näkyvät kohonneeseen keuhkoverenpaineeseen sopivat löydökset. Lisäksi keuhkovaltimot ovat prominentit (nuolten väliin jäävä alue).
Kuva: HUS-Kuvantaminen