

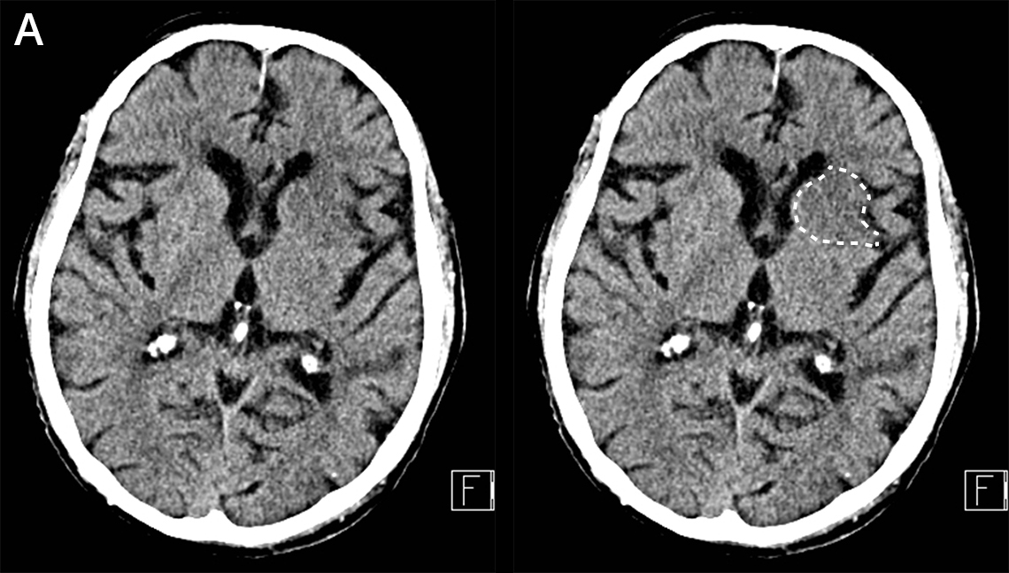
Aivoinfarkti pään TT-kuvassa MCA:n suonitusalueella.
Iäkäs mies kaatui ja löi päänsä. Potilaalla oli ennestään vanhan aivoinfarktin pohjalta oikean puolen heikkoutta. Kaatumisen jälkeen tajunnan taso oli lievästi laskenut ja oikea puoli oli tavallistakin voimattomampi.
A. Pään TT:ssä vasemmalla puolella on nähtävissä harventumaa a. cerebri median suonitusalueeseen kuuluvalla basaalitumakealueella (valkoinen katkoviiva). Hento harventuma sopii tuoreeksi infarktiksi em. alueella. Vuotoja tai likvorkierron häiriöitä ei ole nähtävissä
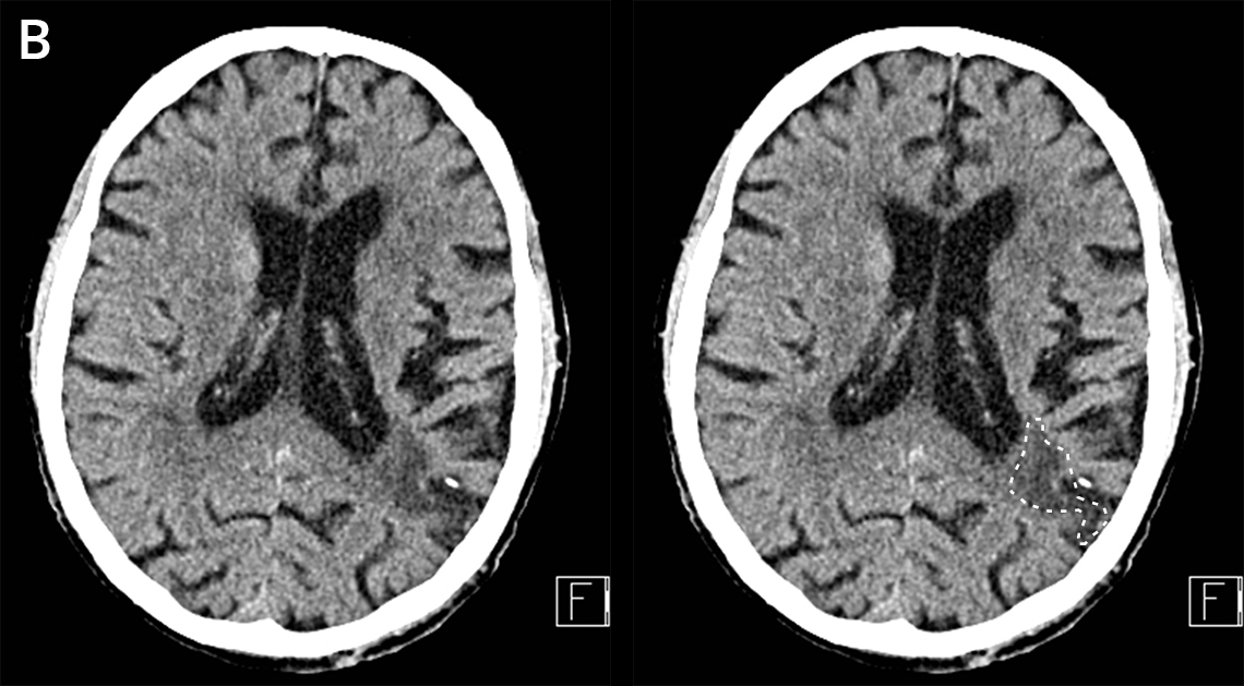
B. Vasemmalla parieto-okkipitaalisesti on nähtävissä vanha infarktiharventuma (valkoinen katkoviiva). Vuotoja tai likvorkierron häiriöitä ei ole nähtävissä.
Kuvat: HUS Kuvantaminen, teksti: Tiina Lehtimäki