
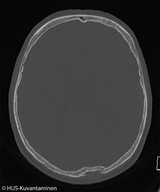
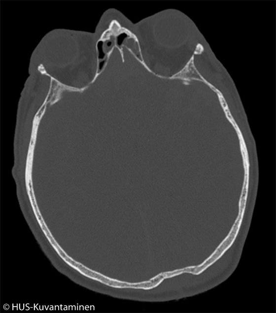
Kallonmurtuma pään TT-kuvassa (kuva 1 ilman löydösmerkintöjä)
Mies löi kaatuessaan päänsä katukiveykseen ja menetti muistinsa useaksi tunniksi.
Kuva: HUS-Kuvantaminen

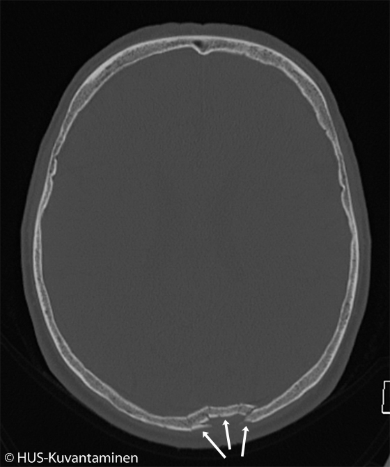
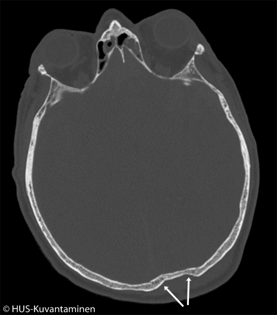
Kallonmurtuma pään TT-kuvassa (kuva 1 löydösmerkinnöin),
Luuikkunalla otetussa pään TT:ssä näkyy impressiomurtuma (nuolet) takana parietaaliluussa, mutta potilaalla ei todettu aivovauriota (ks. myös kuva «Kallonmurtuma pään TT-kuvassa»1
).Kuva: HUS-Kuvantaminen

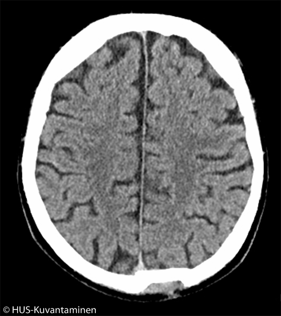
Kallonmurtuma pään TT-kuvassa (kuva 2 ilman löydösmerkintöjä),
Kuva: HUS-Kuvantaminen

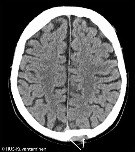
Kallonmurtuma pään TT-kuvassa (kuva 2 löydösmerkinnöin).
Kuva: HUS-Kuvantaminen

Kallonmurtuma pään TT-kuvassa (kuva 3 ilman löydösmerkintöjä).
Kuva: HUS-Kuvantaminen

Kallonmurtuma pään TT-kuvassa (kuva 3 löydösmerkinnöin).
Pään luuikkunalla otetussa TT-kuvassa näkyy takaraivolla vanha luutunut impressiomurtuma.
Kuva: HUS-Kuvantaminen

Kallonmurtuma pään TT-kuvassa (kuva 4 ilman löydösmerkintöjä).
Kuva: HUS-Kuvantaminen

Kallonmurtuma pään TT-kuvassa (kuva 4 löydösmerkinnöin).
Lisäksi okkipitaalisesti on nähtävissä laaja, pirstaleinen murtuma (nuolet), joka halkaisee vasemmanpuoleisen foramen jugulariksen ja jatkuu temporaaliluuhun asti. Oikeanpuolinen ehjä foramen jugulariksen aukko on ympyröity, vasemmalla murtumalinja seuraa sen kulkua.
Kuva: HUS-Kuvantaminen